||
前言
乳腺肿瘤是猫常见的恶性肿瘤之一,发病率高且预后差。研究分析了418只猫的乳腺样本,包括良性和恶性肿瘤。结果发现,恶性肿瘤的猫通常年纪较大,且更易发生淋巴结转移。研究还首次描述了猫乳腺中的新型病变,如孢子虫病、基底样癌及良性乳腺肿瘤等。最常见的恶性肿瘤为管状乳头状癌和筛管状癌,其特征包括明显的细胞异质性、增生性分裂和坏死现象。此外,年龄较大与恶性肿瘤的发生具有相关性,突显了人口研究在猫乳腺肿瘤诊断中的重要性。来自巴西米纳斯吉拉斯联邦大学Geovanni D. Cassali博士及其团队在 Veterinary Sciences 期刊发表了文章,该研究为猫乳腺肿瘤的早期诊断和治疗提供了重要数据,具有一定的临床意义。

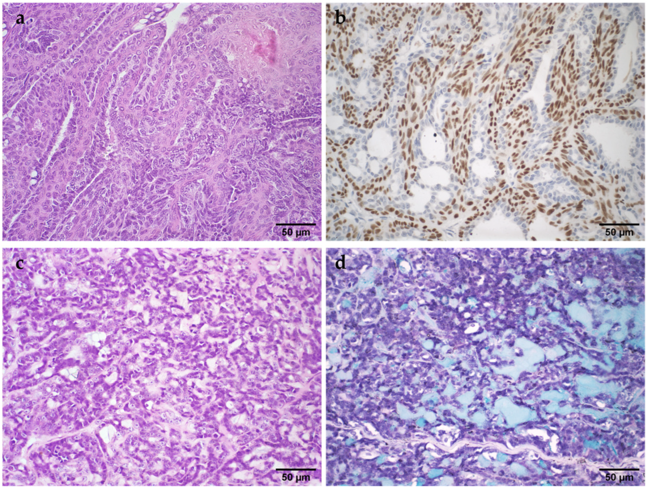
雌性猫乳腺恶性肿瘤的组织病理学图像。(a) 恶性腺肌上皮瘤。在内部区域可见肌上皮细胞的增生,而在乳头状突起的周边区域则可见上皮细胞;HE染色;(b) 恶性腺肌上皮瘤。在乳头状突起的内部区域可见p63阳性的肌上皮细胞;(c) 黏液癌。在上皮细胞周围可见一种略呈嗜碱性的无定形物质 (黏蛋白),HE染色;(d) 黏液癌。通过阿尔辛蓝染色技术,黏蛋白呈阳性反应。
研究过程与结果
本研究回顾性分析了2007年至2023年间,418只猫的乳腺样本,评估了猫乳腺肿瘤的流行病学和临床病理特征。研究发现,88.8%的猫乳腺肿瘤为恶性肿瘤 (MN),2.2%为良性肿瘤 (BN),9.1%为非肿瘤性病变 (NNL)。恶性肿瘤的猫年龄普遍较大,平均年龄为10.2±3.4岁,明显高于良性肿瘤 (7.0±5.4岁) 和非肿瘤性病变 (5.3±4.2岁)。乳腺病变共发现858个,其中恶性肿瘤占68.9%。通过免疫组织化学染色,首次确认了猫乳腺的孢子虫病、良性乳腺肿瘤和基底样癌等新型病变。在常见的恶性肿瘤类型中,管状乳头状癌、筛管状癌和恶性腺肌上皮瘤最为常见,均未在肉眼检查中发现溃疡或囊性形成。显微镜下,三种恶性肿瘤的细胞异质性 (p < 0.001)、核异质性 (p < 0.001) 和有丝分裂计数 (p < 0.001) 具有显著差异。特别是恶性腺肌上皮瘤表现出低的有丝分裂计数和缺乏溃疡,而筛管状癌和管状乳头状癌则显示出明显的细胞异质性和较高的有丝分裂计数。此外,研究还首次描述了猫乳腺中的新病变,如孢子虫病和良性乳腺肿瘤等,为临床诊断提供了新的参考。这些发现强调了猫乳腺病变的多样性,进一步揭示了该病变的临床和病理学特征,具有重要的临床意义。

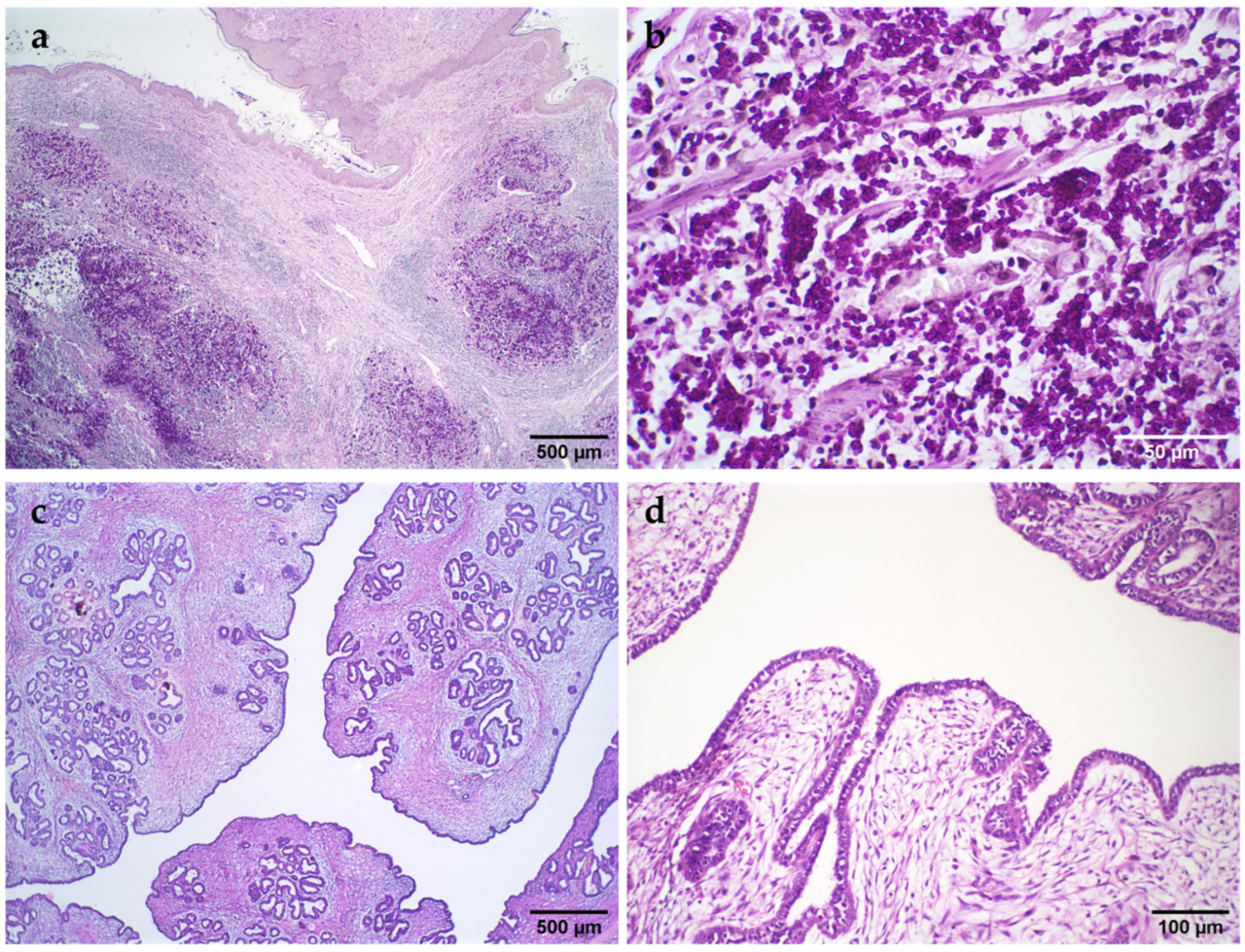
雌性猫乳腺病变的组织病理学图像。孢子丝菌病。(a):乳头 (图像上部)。可见多处致密染色的炎性浸润灶,PAS染色,40倍放大;(b):多个卵圆形和圆形结构 (与孢子丝菌属相符),品红色染色,PAS染色;(c):良性叶状肿瘤,裂隙状管腔呈叶状外观,H&E染色;(d):间质内衬上皮细胞,H&E染色。
研究结论
本研究对418只猫的乳腺肿瘤进行了流行病学与临床病理学分析,目的是评估其常见类型、临床特征及肿瘤行为。研究结果显示,恶性肿瘤 (MN) 在猫中占主导地位,约88.8%的猫被诊断为恶性肿瘤,且恶性肿瘤通常出现在年龄较大的猫中,平均年龄为10.2±3.4岁,明显高于良性肿瘤 (7.0±5.4岁) 和非肿瘤性病变 (5.3±4.2岁)。大部分猫为杂交猫,且乳腺肿瘤多见多发。该研究还首次描述了猫乳腺中的新型病变,如孢子虫病、良性乳腺肿瘤和基底样癌等。在最常见的恶性肿瘤中,管状乳头状癌、筛管状癌和恶性腺肌上皮瘤是最为常见的类型。显微镜下,恶性腺肌上皮瘤表现为较低的有丝分裂计数、缺乏溃疡和较轻微的细胞异质性,而筛管状癌和管状乳头状癌则显示较高的有丝分裂计数和细胞异质性。尽管这些肿瘤的生物学行为不同,但目前的数据无法明确证明其恶性程度的差异。此外,研究首次报告了猫乳腺出现的孢子虫病病例,强调了准确诊断的重要性,因为并非所有乳腺病变都是肿瘤。研究还指出,尽管乳腺肿瘤的大小是已知的预后因素,但本研究未能发现肿瘤大小与猫整体生存期之间有显著关联。总之,早期检测老年猫的恶性肿瘤至关重要,特别是对可能影响乳腺的其他疾病,如孢子虫病等,应进行鉴别诊断。该研究为猫乳腺肿瘤的生物学行为、诊断方法以及预后评估提供了宝贵的数据和见解。
阅读英文原文:https://www.mdpi.com/2306-7381/11/11/549
Veterinary Sciences 期刊介绍
主编:Patrick Butaye, Ghent University, Belgium; City University of Hong Kong, China
发表与兽医科学领域相关的原创研究文章、评论、通讯和简短说明,主题包括动物疾病、紊乱和损伤的预防、诊断和治疗。
2024 Impact Factor:2.3
2024 CiteScore:3.5
Time to First Decision:17.8 Days
Acceptance to Publication:2.6 Days
期刊主页:https://www.mdpi.com/journal/vetsci

Archiver|手机版|科学网 ( 京ICP备07017567号-12 )
GMT+8, 2026-4-16 21:02
Powered by ScienceNet.cn
Copyright © 2007- 中国科学报社