神经外科赵东升的博客分享 http://blog.sciencenet.cn/u/zds0002 普及昏迷促醒,脑损伤,脑出血,脑积水,脑肿瘤,脊髓损伤,脊髓肿瘤,脊髓拴系,大小便功能障碍,三叉神经痛,面肌痉挛的治 ...

博文

腰腿疼大小便困难原来是脊髓内肿瘤

已有 195 次阅读 2026-1-27 22:26 |系统分类:科普集锦

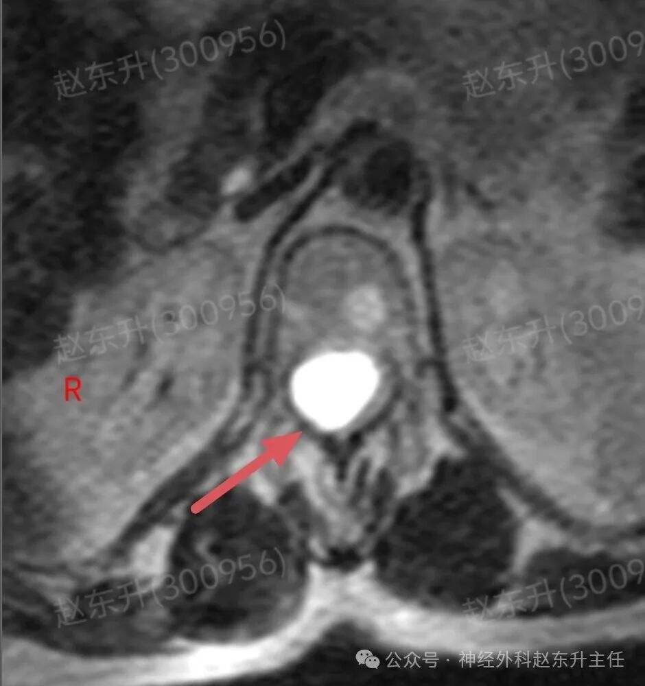
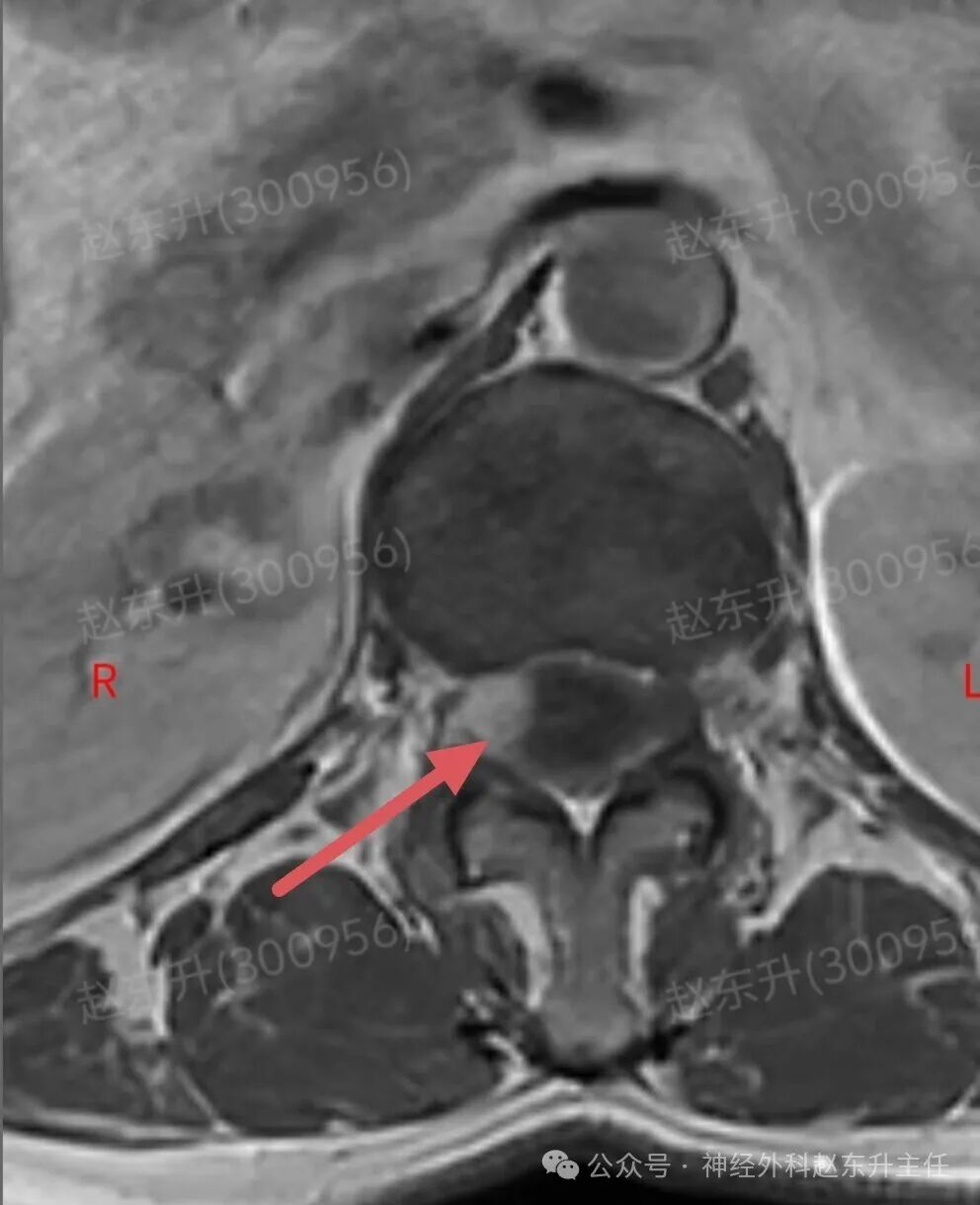
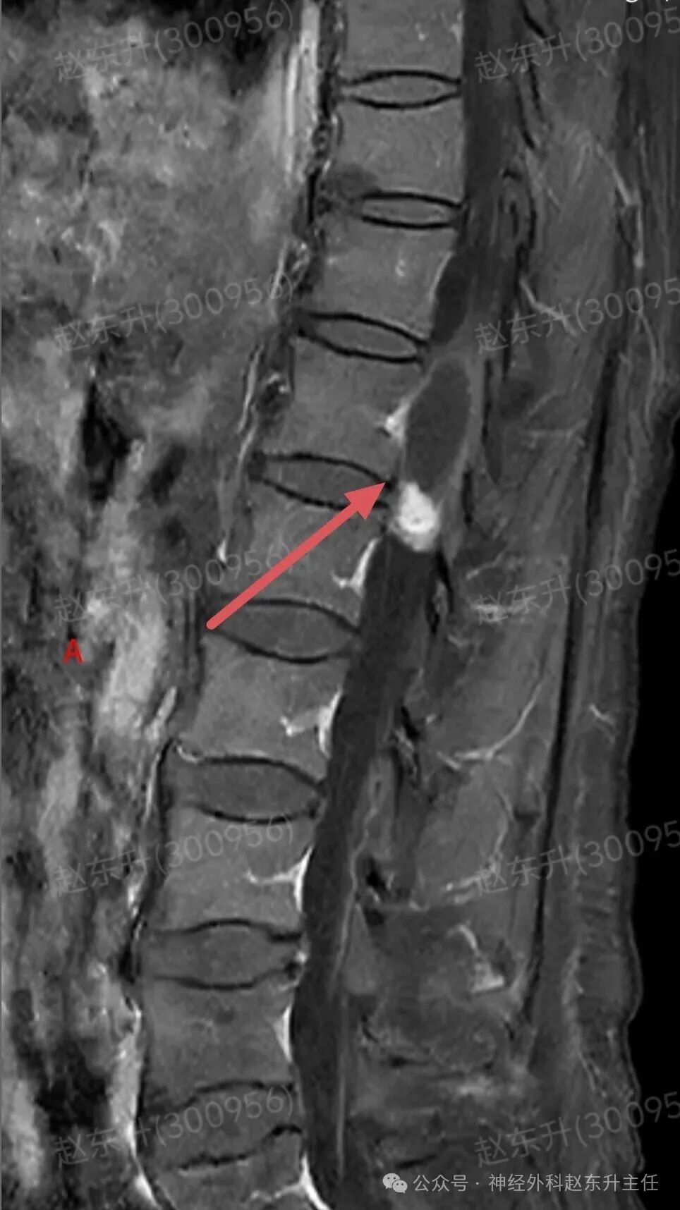
上周门诊来了一位58岁女性,患者因为下肢和腰背部顽固性疼痛半年,在各大医院就诊曾行针灸按摩,艾灸电疗等治疗没见缓解,而且疼痛评分可以达到8-9分,口服止痛药无效,康复理疗无效。随后查了一下腰椎磁共振,发现胸12腰1节段脊髓内异常信号,随后收入我科。入院之后查肌电图提示下肢和骶神经损伤严重,随后我们在全麻下使用显微镜,并且术中电生理监测下,给予脊髓内肿瘤次全切除,术后病理提示是胶质瘤。术后第2天我们就给他用了经颅磁刺激等神经康复治疗,虽然术后第1天右下肢肌力较术前减退,但经过10天的治疗以后,下肢肌力逐渐恢复,可以下地行走了。术后他还需要进一步的放疗和化疗来抑制肿瘤的生长,预防肿瘤复发。

图片图片图片图片图片图片图片图片切除的肿瘤图片术后病理西安市红会医院神经外科赵东升主任介绍:脊髓内胶质瘤是一种起源于脊髓实质内部的胶质细胞(即神经系统的“支持”细胞)的肿瘤。与脊膜瘤(位于脊髓外)的关键区别在于,它生长在脊髓内部,因此会浸润并破坏正常的脊髓神经组织核心特征:性质:涵盖从低级别良性到高级别恶性的完整谱系,但以低级别为主。位置:完全位于脊髓中央,可累及多个脊髓节段,甚至全长脊髓。特点:肿瘤与正常脊髓组织边界不清(浸润性生长),手术全切极为困难。其生长直接破坏神经传导束,导致严重神经功能障碍。发病率:相对少见,约占所有中枢神经系统胶质瘤的2-4%,但却是儿童最常见的髓内肿瘤。无明显性别差异。与脊膜瘤的关键区别总结

特征

脊髓内胶质瘤

椎管内脊膜瘤

起源

脊髓内部的胶质细胞

脊髓外部的脊膜细胞

生长方式

浸润性生长,破坏神经组织

膨胀性、压迫性生长,有包膜

与脊髓关系

位于脊髓内部,边界不清

位于脊髓外部,边界清晰

常见性质

良恶性均有,低级别多见

绝大多数为良性

手术目标

在保护功能前提下最大安全切除,全切困难

根治性全切Simpson I/II级)

治疗挑战

极大(易致神经损伤)

相对较小

主要类型1.室管膜瘤(约占60%):常见的成人髓内胶质瘤。多为低级别(WHO I级和II级),生长缓慢。常发生于颈段和胸段,常有明确边界,有时可有“假包膜”,是手术全切希望最大的一种。2.星形细胞瘤(约占30%):常见的儿童髓内胶质瘤。从低级别(毛细胞型星形细胞瘤,WHO I级,预后好)到高级别(胶质母细胞瘤,WHO IV级,预后极差)都有。浸润性生长为特点,与正常脊髓几乎无边界,手术全切风险极高。3.其他少见类型:如血管母细胞瘤(常与VHL病相关)、少突胶质细胞瘤等。临床表现(症状)症状因肿瘤生长缓慢而隐匿、渐进性加重,早期易被忽视。典型症状:1.感觉障碍(最早、最常见):l分离性感觉障碍:这是特征性表现。由于肿瘤侵犯脊髓中央的白质前连合,导致痛觉、温觉纤维受损,而触觉、深感觉保留。患者表现为双侧对称性的、节段性的痛温觉减退或消失,而触觉正常l麻木、酸痛、束带感。2.运动障碍:n肿瘤平面以下出现肢体无力、僵硬、肌肉萎缩(尤以手部小肌肉萎缩常见)。n行走困难,步态不稳。3.疼痛:定位不明确的颈背部疼痛,夜间痛可能更明显。4.自主神经功能障碍(晚期):l大小便失禁或困难。l性功能障碍。l皮肤营养障碍(无汗、皮肤干燥等)。诊断增强磁共振(MRI): 是首选和确诊的关键检查。典型表现:可见脊髓呈梭形、偏心性或中心性增粗。肿瘤在T1像呈等或低信号,T2像呈高信号,增强后强化模式多样(可均匀、不均匀或环形强化)。可清晰显示肿瘤范围、有无囊变、脊髓空洞等。CT:价值有限,主要用于评估是否有脊椎骨质改变。治疗治疗远比脊膜瘤复杂,需在多学科团队(神经外科、肿瘤科、放疗科)指导下进行个体化综合治疗手术治疗(首要且核心):l目标:在最大限度保护神经功能的前提下,实现最大安全程度的肿瘤切除。全切是目标,但常因肿瘤边界不清而无法实现。l技术:在术中神经电生理监测(监测运动、感觉传导束功能)的保驾护航下,使用显微外科技术、超声吸引、激光等进行精细操作。功能保护优先于肿瘤全切放射治疗:主要适用于:高级别胶质瘤术后辅助治疗、无法全切的低级别胶质瘤术后残留、肿瘤复发无法再次手术者。化学治疗:l对于高级别(恶性)脊髓胶质瘤,可参照脑胶质瘤方案进行化疗(如替莫唑胺)。l对于部分复发的低级别胶质瘤也可能使用。预后与随访预后差异巨大,高度依赖于肿瘤的病理类型和分级l低级别室管膜瘤:若能实现全切,预后良好,可达到长期无进展生存,甚至临床治愈。复发率低。l低级别星形细胞瘤(如毛细胞型):全切后预后也很好。次全切后也可能长期稳定。l高级别胶质瘤(如胶质母细胞瘤)预后极差,即使积极治疗,也极易在脊髓内播散复发,生存期短。l随访:术后需定期(通常每3-6个月,后逐渐延长)进行增强MRI复查,监测肿瘤是否残留或复发。神经功能康复治疗至关重要赵东升主任简介医学硕士,西安市红会医院北院区神经外科主任医师,从事神经外科近20年。使用独创的“三维一体疗法”成功促醒大量昏迷病人,使上百例脊髓损伤瘫痪患者重新站起来。最早在陕西省开展第一例脊髓电刺激治疗昏迷病人,第一例脊髓电刺激手术治疗截瘫病人,第一例脊髓电刺激手术治疗下肢缺血顽固性疼痛。主编专著3部,参编专著11部,发表学术论文30余篇,荣获国家专利32项(其中四项发明专利),担任多部杂志编委及审稿专家。擅长:1.脑病方面:昏迷促醒,脑肿瘤、脑积水、脑梗死偏瘫、肌张力增高、顽固性癫痫、三叉神经痛、脑干出血、老年痴呆、帕金森、头痛等;2.脊髓病方面:脊髓损伤、脊柱术后疼痛、大小便障碍、脊髓肿瘤、脊髓空洞、小脑扁桃体下疝畸形、脊髓栓系、脊膜膨出、痉挛性截瘫等;3.周围神经疾病方面:糖尿病足、下肢缺血性疼痛、臂丛神经损伤、腓总神经损伤、腕管综合征、肘管综合征、男性功能障碍等门诊时间:北院区:周一全天门诊二楼203A  第五诊室南院区:周二全天门诊三楼310诊室



https://blog.sciencenet.cn/blog-3331512-1520144.html

上一篇:长期腰腿疼原来是这个原因
下一篇:椎管内巨大肿瘤术后会瘫痪吗?
收藏 IP: 36.44.166.*| 热度|

1 许培扬

该博文允许注册用户评论 请点击登录 评论 (2 个评论)

数据加载中...
扫一扫,分享此博文

Archiver|手机版|科学网 ( 京ICP备07017567号-12 )

GMT+8, 2026-1-29 00:27

Powered by ScienceNet.cn

Copyright © 2007- 中国科学报社

返回顶部