神经外科赵东升的博客分享 http://blog.sciencenet.cn/u/zds0002 普及昏迷促醒,脑损伤,脑出血,脑积水,脑肿瘤,脊髓损伤,脊髓肿瘤,脊髓拴系,大小便功能障碍,三叉神经痛,面肌痉挛的治 ...

博文

椎管内巨大肿瘤术后会瘫痪吗?

已有 192 次阅读 2026-1-27 22:33 |系统分类:科普集锦

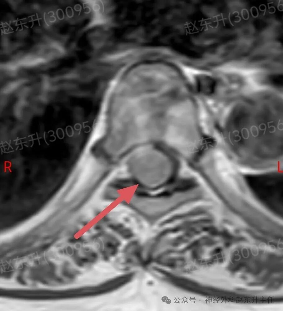
今天介绍一个58岁女性患者,因为腰部疼痛麻木伴双下肢麻木乏力半年入院的患者半年前开始出现下肢麻木乏力,但可独立行走。没有引起重视,逐渐症状加重,伴有腰部疼痛,夜间疼痛比较明显明显难以忍受,随后在当地医院查了ct和核磁共振发现椎管内一个巨大的肿瘤压迫脊髓。当地医院不敢手术,因为患者虽然疼痛麻木,疼痛评分有10分,但可以行走。随后他到西安市红会医院神经外科找到了赵东升主任,经过详细的术前评估和检查以后在全麻下显微镜下进行了肿瘤全切术后患者疼痛立即减轻,术后第2天开始做经颅磁刺激等神经康复治疗。术后一周就可以下地行走了,大小便也恢复了正常。患者感激到终于有人帮我解决了这个折磨他半年的一个疾病。

图片图片图片图片图片图片图片

赵东升主任介绍:

椎管内脊膜瘤是起源于脊髓蛛网膜(尤其是蛛网膜帽细胞)或硬脊膜的良性、生长缓慢的肿瘤。它是椎管内最常见的良性肿瘤之一,约占所有椎管内肿瘤的25%-45%,发病率仅次于神经鞘瘤。绝大多数(约90%)为良性(WHO I级),好发于中年女性,女男比例约为4:1。

关键特征

位置:绝大多数(>85%)位于硬膜下-髓外空间,即肿瘤在硬脊膜内,但位于脊髓外部。最常见于胸段椎管(约70%),其次是颈段,腰骶段少见。极少数可位于硬膜外或跨硬膜内外生长。

生长方式:通常为单发、局限性生长的类圆形或椭圆形肿块,有完整包膜,与硬脊膜紧密附着(称为“硬膜基底”)。肿瘤缓慢压迫脊髓和神经根,而非直接侵犯。

病理:肿瘤细胞排列呈漩涡状,常伴有沙粒体(钙化小体)。组织学亚型以上皮型、纤维型和过渡型最常见。

临床表现症状进展缓慢,病程较长(常为数月至数年),主要表现为脊髓和神经根受压的慢性进行性症状:

早期/常见症状:局部疼痛(背痛或神经根性疼痛)、感觉异常(麻木、束带感)。

脊髓压迫进展期症状

感觉障碍:受压平面以下的感觉减退或异常,常从远端开始向上发展。

运动障碍:肢体无力、僵硬、活动不灵,严重者可致瘫痪。

括约肌功能障碍:晚期可出现大小便困难或失禁。

特点:胸段肿瘤因椎管空间相对狭窄,症状出现较早且明显。

诊断

影像学检查

磁共振成像:是首选和确诊性检查。典型表现:T1加权像呈等或稍低信号,T2加权像呈等或稍高信号;增强扫描后呈现均匀、显著的强化,可见特征性的“硬膜尾征”(邻近硬脊膜线状强化)。

CT扫描:可显示肿瘤内的钙化、邻近骨质的改变(如椎弓根侵蚀、椎管扩大)。

鉴别诊断:需与神经鞘瘤、转移瘤、血管母细胞瘤等其他椎管内肿瘤鉴别。神经鞘瘤常呈哑铃形、强化不均,且更易引起骨性破坏。

治疗手术切除是根本治疗方法,目标是在保护神经功能的前提下实现Simpson I级全切(全切肿瘤及附着的硬膜)。

手术:通过椎板切开或椎板成形术,显微镜下精细分离,全切肿瘤。因肿瘤边界清晰,与脊髓粘连多不紧密,全切率很高。

放射治疗:适用于:

无法全切的残留肿瘤(如包裹重要血管、神经)。

罕见的不典型(WHO II级)或恶性(WHO III级)脊膜瘤。

无法耐受手术的老年患者。

随访:对于完全切除的良性脊膜瘤,预后极佳,复发率很低(5年复发率<5%),但仍建议定期MRI随访。

预后

总体预后良好:只要诊断及时、手术全切,绝大多数患者神经功能可获得显著改善或稳定,长期无复发,恢复正常生活。

神经功能恢复:取决于术前神经功能缺损的严重程度和病程长短。术前症状轻、病程短者,术后恢复更好。

影响因素:不完全切除、非典型/恶性病理类型、脊髓长期严重受压导致不可逆损伤等,是预后不佳的主要因素

赵东升主任简介

医学硕士,西安市红会医院北院区神经外科主任医师,从事神经外科近20年。使用独创的“三维一体疗法”成功促醒大量昏迷病人,使上百例脊髓损伤瘫痪患者重新站起来。最早在陕西省开展第一例脊髓电刺激治疗昏迷病人,第一例脊髓电刺激手术治疗截瘫病人,第一例脊髓电刺激手术治疗下肢缺血顽固性疼痛。主编专著3部,参编专著11部,发表学术论文30余篇,荣获国家专利32项(其中四项发明专利),担任多部杂志编委及审稿专家。擅长:

  1. 脑病方面:昏迷促醒,脑肿瘤、脑积水、脑梗死偏瘫、肌张力增高、顽固性癫痫、三叉神经痛、脑干出血、老年痴呆、帕金森、头痛等;
  2. 脊髓病方面:脊髓损伤、脊柱术后疼痛、大小便障碍、脊髓肿瘤、脊髓空洞、小脑扁桃体下疝畸形、脊髓栓系、脊膜膨出、痉挛性截瘫等;
  3. 周围神经疾病方面:糖尿病足、下肢缺血性疼痛、臂丛神经损伤、腓总神经损伤、腕管综合征、肘管综合征、男性功能障碍等

门诊时间:北院区:周一全天门诊二楼203A  第五诊室

南院区:周二全天门诊三楼310诊室



https://blog.sciencenet.cn/blog-3331512-1520146.html

上一篇:腰腿疼大小便困难原来是脊髓内肿瘤
下一篇:脊髓腹侧巨大肿瘤术后会瘫痪吗?
收藏 IP: 36.44.166.*| 热度|

1 许培扬

该博文允许注册用户评论 请点击登录 评论 (1 个评论)

数据加载中...
扫一扫,分享此博文

Archiver|手机版|科学网 ( 京ICP备07017567号-12 )

GMT+8, 2026-1-29 00:27

Powered by ScienceNet.cn

Copyright © 2007- 中国科学报社

返回顶部