神经外科赵东升的博客分享 http://blog.sciencenet.cn/u/zds0002 普及昏迷促醒,脑损伤,脑出血,脑积水,脑肿瘤,脊髓损伤,脊髓肿瘤,脊髓拴系,大小便功能障碍,三叉神经痛,面肌痉挛的治 ...

博文

脊髓纵裂是怎么回事?脊髓分叉怎么办?

已有 622 次阅读 2025-12-4 21:59 |系统分类:科普集锦

“脊髓纵裂”是一个非常形象但同时也令人担忧的诊断。当听到“脊髓分叉了”这样的描述时,感到困惑和焦虑是完全正常的。请放心,我会用清晰易懂的方式为您解释这是什么情况,以及现代医学如何应对。

图片

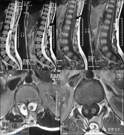
一、脊髓纵裂是怎么回事?

        简单来说,脊髓纵裂是一种先天性的脊柱脊髓发育畸形,指的是脊髓被一个骨性、软骨性或纤维性的“间隔”在中间分开,变成了左右两半。

我们可以用一个比喻来理解:

· 正常的脊髓像一根完整的“数据电缆”,外面由椎骨构成的“管道”(椎管)保护。

· 脊髓纵裂则像是这根“数据电缆”在某个段落被一个“夹子”(间隔)从中间分开了。这个“夹子”可能是一小块骨头、软骨或硬韧的纤维组织。

关键点解析:

图片

1. 它不是完全断裂: “纵裂”是纵向的分开,脊髓的两半通常仍然在间隔的上方和下方重新合并为一条完整的脊髓。真正可怕的是这个“间隔”对脊髓的固定、牵拉和压迫。

2. 常伴有其他畸形: 脊髓纵裂很少单独发生,它常常是一系列脊柱脊髓发育异常的一部分,最常见的合并症包括:

   · 脊髓栓系综合征(脊髓末端被粘住,无法正常上升)。

   · 脊柱侧弯。

   · 椎体畸形(如半椎体、蝴蝶椎)。

   · 皮肤异常(如腰骶部的毛发、小凹、血管瘤等)。

3. 分型:

   · Ⅰ型: 两个半侧脊髓有自己独立的硬脊膜鞘,中间通常是一个骨性或软骨性间隔。这个类型更需要手术干预。

   · Ⅱ型: 两个半侧脊髓共享一个硬脊膜鞘,中间是一个纤维性间隔。

二、该怎么办?(核心:手术治疗)

对于有症状的或某些类型的脊髓纵裂,手术是唯一有效的治疗方法。

治疗原则与目标:

· 核心目标: 解除那个“间隔”对脊髓的束缚、压迫和牵拉,为脊髓和神经的正常发育与功能恢复创造空间。

· 关键: 早期诊断、早期干预。 手术的主要目的是阻止神经功能进一步恶化。已经受损的神经功能(如肌肉萎缩、感觉缺失)可能无法完全恢复,因此越早手术,保留的功能就越多。

决策路径:什么时候需要手术?

下图清晰地展示了从诊断到治疗决策的完整流程:

图片

1. 绝对手术指征(必须手术):

   · 出现进行性加重的神经症状:如下肢无力、走路跛行、肌肉萎缩、足部畸形、感觉减退等。

   · 出现膀胱或肠道功能障碍:如尿失禁、排尿困难、便秘等。这是紧急手术的信号。

   · 合并有明显的脊髓栓系。

2. 相对手术指征(强烈建议手术):

   · Ⅰ型脊髓纵裂:因为其中的骨/软骨性间隔会随着儿童生长持续地切割和压迫脊髓,且通常伴有独立的硬膜鞘,风险较高,即使暂时无症状,也通常建议预防性手术。

   · 影像学发现脊髓明显受牵拉或受压。

3. 可以观察的情况:

   · Ⅱ型脊髓纵裂,如果患者完全没有症状,且神经系统检查正常,可以采取密切观察的策略,定期复查MRI和进行神经功能评估。

手术治疗方式:

手术称为 “纵裂间隔切除 + 脊髓栓系松解术”。

· 过程: 在神经外科显微镜下,医生会:

  1. 切除病变节段的部分椎板,打开椎管。

  2. 小心翼翼地找到并完整切除那个将脊髓分开的“间隔”(骨头、软骨或纤维带)。

  3. 同时,松解任何造成脊髓栓系的粘连或牵拉因素。

· 技术保障: 手术全程会在神经电生理监测下进行,像“雷达”一样实时监控神经功能,最大限度地避免手术副损伤。

术后管理与康复:

· 定期随访: 术后需要定期(如每年)复查脊髓MRI,并长期接受神经功能评估,监测是否有再栓系或脊柱侧弯的进展。

· 康复治疗: 针对神经功能缺损进行物理治疗和作业治疗,改善运动、步态和日常生活能力。

· 多学科协作: 可能需要骨科医生处理脊柱侧弯或足部畸形,泌尿科医生管理膀胱功能等。

图片

总结与建议:

1. 脊髓纵裂是先天性畸形,核心问题是“间隔”对脊髓的束缚。

2. 治疗主要靠手术,目标是解除束缚,阻止神经功能恶化。

3. 手术决策取决于类型(I型/II型)、症状及是否合并栓系。出现大小便问题需紧急处理。

4. 预后与手术时机密切相关:越早干预,效果越好。

图片

赵东升主任简介

医学硕士,西安市红会医院北院区神经外科主任医师,从事神经外科20使用独创的三维一体疗法成功促醒大量昏迷病人,使上百例脊髓损伤瘫痪患者重新站起来。最早在陕西省开展第一例脊髓电刺激治疗昏迷病人,第一例脊髓电刺激手术治疗截瘫病人,第一例脊髓电刺激手术治疗下肢缺血顽固性疼痛。主编专著3部,参编专著11部,发表学术论文30余篇,荣获国家专利32项(其中四项发明专利),担任多部杂志编委及审稿专家。

擅长

1.脑病方面:昏迷促醒,脑肿瘤、脑积水、脑梗死偏瘫、肌张力增高、顽固性癫痫、三叉神经痛、脑干出血、老年痴呆、帕金森、头痛等;

2.脊髓病方面:脊髓损伤、脊柱术后疼痛、大小便障碍、脊髓肿瘤、脊髓空洞、小脑扁桃体下疝畸形、脊髓栓系、脊膜膨出、痉挛性截瘫等;

3.周围神经疾病方面糖尿病足下肢缺血性疼痛臂丛神经损伤、腓总神经损伤腕管综合征肘管综合征男性功能障碍

门诊时间

北院区:周一全天  门诊二楼203A  第五诊室

南院区:周二全天  门诊三楼310诊室



https://blog.sciencenet.cn/blog-3331512-1512980.html

上一篇:脊髓畸胎瘤该怎么办?
下一篇:长期腰腿疼原来是这个原因
收藏 IP: 36.44.183.*| 热度|

1 许培扬

该博文允许注册用户评论 请点击登录 评论 (1 个评论)

数据加载中...

Archiver|手机版|科学网 ( 京ICP备07017567号-12 )

GMT+8, 2026-2-21 23:53

Powered by ScienceNet.cn

Copyright © 2007- 中国科学报社

返回顶部