||


华南理工大学食品科学与工程学院、广西大学轻工与食品工程学院、广东省食品工业研究所有限公司Zheng Zeyang等纳米硒粒子(selenium nanoparticles,SeNPs)通过一种广泛使用的化学还原体系(使用亚硒酸钠和抗坏血酸)构建,并进一步探索了以牡蛎蛋白水解物(oyster protein hydrolysates,OPH)为模板制备功能性SeNPs的潜力。对复合SeNPs(OPH-SeNPs)进行了动态光散射、紫外-可见光谱、傅里叶变换红外(Fourier transform infrared,FTIR)光谱、X射线衍射(X-ray diffraction,XRD)和透射电子显微镜(transmission electron microscopy,TEM)表征。此外,通过H₂O₂诱导的HepG2细胞模型评估了OPH-SeNPs的体外保肝功效,旨在为肝脏治疗提供一种新型辅助补充剂。
Introduction
硒作为一种必需的微量营养素,通过硒蛋白在人类和动物健康中发挥广泛的生物学功能。此外,硒能够提高谷胱甘肽过氧化物酶(glutathione peroxidase,GSH-Px)、超氧化物歧化酶(superoxide dismutase,SOD)和过氧化氢酶(catalase,CAT)的活性,同时也是合成GSH-Px这一关键抗氧化酶以抵御氧化损伤的重要组成部分,因此被广泛用作膳食补充剂。然而,硒的膳食缺乏(>55 μg/d)和毒性水平(<400 μg/d)之间的窗口非常狭窄,因此科学家们致力于寻求高效、低毒的硒补充剂。
随着纳米技术的发展,纳米材料凭借其独特的性质,逐渐在电子学、环境科学,尤其是在生物医学领域发挥着至关重要的作用,而纳米颗粒抗氧化剂已成为预防和治疗涉及氧化应激疾病的新兴策略。近年来,具有优异生物利用度和低毒性的新型硒纳米颗粒(selenium nanoparticles,SeNPs)受到越来越多的关注,许多研究表明补充SeNPs能够在体内和体外有效清除自由基。但通过简单化学方法合成的零价红色SeNPs由于胶体稳定性低,会随时间发生聚集。为解决这一问题,研究者们已做出诸多努力,尝试使用肽、蛋白质、多糖和褪黑素等作为模板来稳定红色SeNPs。其中,与多糖(功能多样性和结构灵活性有限)及蛋白质(免疫原性高且不稳定)相比,分子质量更低的肽类因其多肽链上灵活多样的表面官能团(如氨基、羧基和巯基),可通过配位键、静电相互作用或共价键来稳定SeNPs,防止其聚集。此外,具有多种生理功能(如抗氧化、抗肿瘤、抗糖尿病和免疫调节活性)的肽也是一类重要的生物反应调节剂。受前人研究启发,我们认为具有一定生物活性的肽可能会赋予稳定的SeNPs以增强的递送效率。海洋生物活性肽具有低毒性、优异的生物相容性和多方面的生物活性(如抗高血压、免疫调节、抗氧化、抗癌和抗菌作用),是纳米硒尺寸调控的理想候选者。
根据文献报道,超声方法几乎可以将所有无机物质转化为纳米材料。与其他技术相比,其优势主要体现在:1)能够制备无定形纳米材料;2)成功将纳米材料插入介孔材料中;3)将纳米颗粒有效沉积在陶瓷和聚合物表面形成光滑均匀的涂层;4)促进蛋白质微球和纳米球的形成。与一步化学法不同,化学法与超声处理相结合,提高了虎乳灵芝多糖-SeNPs的稳定性及抗氧化或抗癌功能。
Results
成功制备出OPH。随着水解时间的延长,蛋白质回收率和水解度均显著变化。4 h水解的OPH具有最高的蛋白质回收率(87.24%)和显著的酒精脱氢酶(alcohol dehydrogenase,ADH)激活率,因此被选为后续合成纳米颗粒的模板。利用OPH作为稳定剂和封端剂,通过化学还原法(亚硒酸钠+抗坏血酸)结合超声处理,成功合成了牡蛎肽稳定的OPH-SeNPs。
表1 水解时间对OPH的蛋白质回收率、水解度、体外ADH激活率的影响,以及由不同水解时间点获得的2 mg/mL OPH所稳定的SeNPs的粒径和PDI

合成参数优化表明,10 min超声处理、2 mg/mL OPH和1 mmol/L Na₂SeO₃的组合可制备出粒径最小(约154 nm)、分布最均匀(分散度指数(polydispersity index,PDI)=0.09)且浓度较高的纳米颗粒。
紫外-可见光谱分析证实了SeNPs的特征吸收峰(约267 nm),且其强度与颗粒浓度和分散状态相关。

图1 OPH浓度对OPH-SeNPs(A)粒径、PDI和(C)紫外-可见光谱的影响;Na₂SeO₃浓度对OPH-SeNPs(B)粒径、PDI和(D)紫外-可见光谱的影响
TEM观察显示,未经稳定的单质硒在水溶液中严重团聚,而OPH-SeNPs呈现均匀分散的球形纳米颗粒,证明OPH有效防止了SeNPs的聚集。

图2 单质硒(A)、OPH(B)和OPH-SeNPs(C)的TEM图像
FTIR光谱分析表明,OPH成功包覆在SeNPs表面。光谱中—NH、C=O、COO—和C—N等特征峰的红移,提示OPH与SeNPs之间存在弱相互作用(如氢键、静电相互作用),而非形成新的共价键。XRD图谱显示,单质硒为高度结晶态,而OPH-SeNPs和纯OPH均表现为无定形结构。这表明OPH的包覆使SeNPs转变为无定形态,形成了稳定的纳米复合材料。

图3 OPH、SeNPs和OPH-SeNPs的FTIR光谱(A);OPH、OPH-SeNPs和单质硒的XRD图谱(B)
OPH-SeNPs在较宽的离子强度范围(NaCl,0~1 mol/L)内表现出良好的胶体稳定性,粒径变化较小。其稳定性受pH值影响,在pH值接近其等电点(约4.1)时,由于表面电荷为零、排斥力消失,颗粒易聚集。贮藏稳定性测试表明,OPH-SeNPs在4 ℃和25 ℃下避光贮藏30 d粒径稳定,但在45 ℃下或长期光照下稳定性下降。

图4 OPH-SeNPs在不同pH值(A)、NaCl浓度(B)和贮藏温度或光照条件下的稳定性(C)
预处理OPH-SeNPs(100~500 ng/mL)能剂量依赖性地提高H₂O₂损伤的HepG2细胞活力,其中500 ng/mL效果最显著。OPH-SeNPs预处理能显著降低H₂O₂引起的细胞内ROS过量生成,并恢复细胞内关键抗氧化酶(GSH-Px、SOD、CAT)的活性及GSH的含量。

A.细胞活力;B.细胞内ROS生成;C. GSH-Px活性;D. SOD活性;E. CAT活性;F. GSH含量。
图5 OPH-SeNPs对H₂O₂诱导的HepG2细胞毒性的保护作用
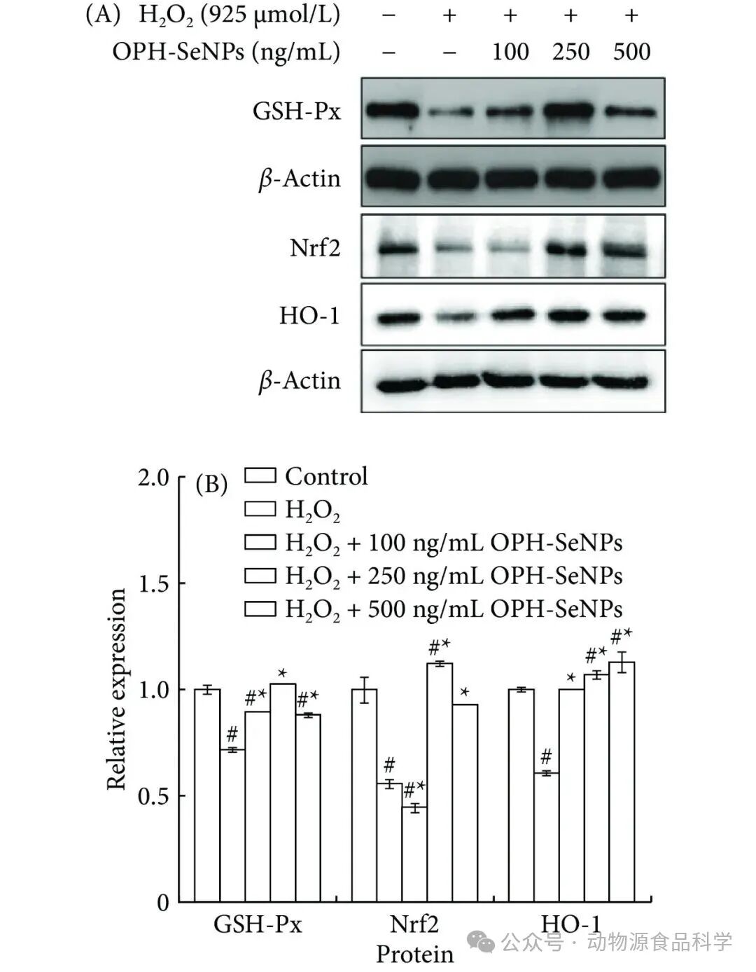
结果表明,OPH-SeNPs的保护作用与激活Nrf2-ARE抗氧化信号通路有关。它能显著上调H₂O₂损伤细胞中Nrf2及其下游靶蛋白(如抗氧化酶GSH-Px和HO-1)的表达。

图6 代表性Western Blot图像(A)及条带强度定量分析(B)(以β-肌动蛋白为内参)
在本研究中,我们成功合成了一种新型复合硒纳米颗粒。在超声辅助下,具有潜在ADH激活活性的OPH基质能够良好地分散并稳定所合成的SeNPs。OPH和Na₂SeO₃的浓度显著影响了复合物OPH-SeNPs的形成及其特性,可制备出外观呈透明橙色、粒径范围在140~310 nm之间的SeNPs。研究发现SeNPs与OPH的—NH、C=O、COO—和C—N基团之间存在弱相互作用,所形成的无定形态纳米复合材料表现出显著增强的抗聚集稳定性。此外,预先用OPH-SeNPs孵育可减少由H₂O₂诱导的细胞凋亡并维持细胞完整性,其作用机制可能与激活Nrf2-ARE信号通路有关,实验中检测到该通路下游的GSH-Px、Nrf2和HO-1表达上调。
Abstract
In the present study, a new type of selenium nanoparticles (SeNPs) was synthesized using oyster protein hydrolysates (OPH) as both a stabilizer and capping agent upon ultrasonication. OPH with alcohol dehydrogenase activation activity was prepared and used to fabricate OPH-SeNPs, where monodisperse SeNPs with a transparent orange appearance, ranging from 140 to 310 nm, were obtained. Physicochemical analysis further suggested a weak interaction between SeNPs and the –NH, C=O, COO–, and C–N groups of the OPH, and the formed nanocomposite with improved stability against aggregation was in an amorphous state. The hepatoprotective effect of OPH-SeNPs on HepG2 cells showed that pre-incubation with OPH-SeNPs significantly decreased cell apoptosis induced by hydrogen peroxide and could well maintain cell integrity. A reduction in intracellular reactive oxygen species was found, along with ameliorated activity of internal antioxidant enzymes. The observed upregulation of key antioxidant-related components, i.e., glutathione peroxidase, nuclear factor erythroid 2-related factor 2 (Nrf2), and heme oxygenase-1, suggests activation of the Nrf2-antioxidant response element signaling pathway, which mechanistically explains the hepatoprotective effect of OPH-SeNPs against hydrogen peroxide-induced cytotoxicity in HepG2 cells.
引文格式
Zheng Z, Zhou F, Liu X, et al. Formation of oyster peptide-stabilized selenium nanoparticles and their hepatoprotective effect against hydrogen peroxide-induced cytotoxicity in HepG2 cells. Food Science of Animal Products, 2025, 3(4): 9240142. https://doi.org/10.26599/FSAP.2025.9240142


Archiver|手机版|科学网 ( 京ICP备07017567号-12 )
GMT+8, 2025-12-29 19:38
Powered by ScienceNet.cn
Copyright © 2007- 中国科学报社