||
研究背景
汗腺肿瘤与乳腺肿瘤在形态学和免疫表型上极为相似,这给原发性皮肤汗腺肿瘤与乳腺癌皮肤转移的鉴别诊断带来挑战。TRPS1基因作为GATA转录因子家族成员,近期被证实是乳腺肿瘤高度敏感和特异的标志物。本研究旨在探讨TRPS1在多种皮肤汗腺肿瘤中的表达特征及其诊断价值。
研究方法
研究团队回顾性分析了61例皮肤活检标本,包括5例微囊肿性附属器癌、3例小汗腺腺癌、2例汗管样小汗腺癌、4例恶性汗腺癌、6例恶性汗孔瘤、1例非特指型小汗腺癌、11例汗腺瘤、9例汗孔瘤、7例圆柱瘤、3例螺旋腺瘤和10例汗管瘤。采用TRPS1兔单克隆抗体进行免疫组化染色,通过半定量评分系统评估表达水平。圆柱瘤和螺旋腺瘤因独特的染色模式未纳入此评分系统。
研究结果
研究结果显示,TRPS1在汗腺肿瘤中的表达呈现显著差异。在恶性肿瘤中,除微囊肿性附属器癌全部为阴性外,其他类型如小汗腺腺癌 (图1)、恶性汗腺癌 (图2) 和恶性汗孔瘤 (图3) 均表现出较高的阳性率 (88%总体阳性,81%为中高表达)。

图1. 小汗腺腺癌。(a) 腺体样结构;(b) TRPS1高阳性表达。

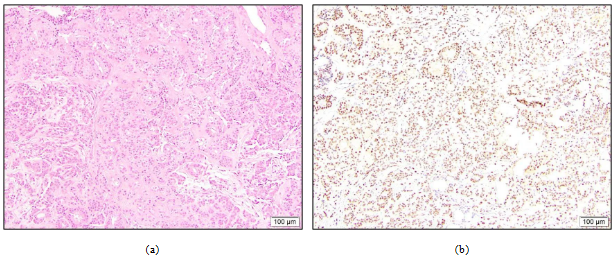
图2. 恶性汗腺癌。(a) 真皮肿瘤结节;(b) TRPS1高阳性表达。

图3. 恶性汗孔瘤。(a) 背靠背排列的肿瘤结节;(b) TRPS1阳性染色。
汗腺瘤 (图4) 中可见囊性或管状空间内衬细胞的染色增强现象。在汗孔瘤中,TRPS1的表达在大多数病历 (6/9) 中呈中高阳性表达,并且阳性肿瘤细胞内部的染色强度存在差异 (图5)。与之相比,所有汗管瘤和微囊肿性附属器癌 (图6) 均为TRPS1阴性。

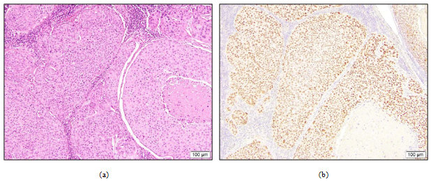
图4. 汗腺瘤。(a) 实性及囊性区域;(b) TRPS1在囊腔衬覆细胞中呈现增强染色。

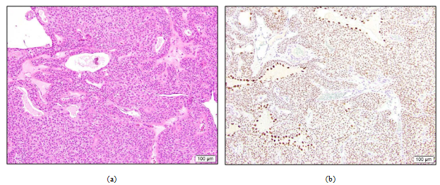
图5. (a) 单一嗜碱性细胞增生的汗孔瘤;(b) TRPS1高阳性表达。

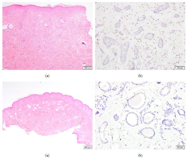
图6. 微囊肿性附属器癌与汗管瘤。(a) 微囊肿性附属器癌呈浸润性生长;(b) 恶性细胞及真皮间质细胞中TRPS1染色呈阴性;(c) 边界清楚的汗管瘤,可见蝌蚪状导管;(d) 肿瘤细胞中缺乏TRPS1表达。
皮肤圆柱瘤中TRPS1蛋白的差异化表达模式:其内层管腔细胞呈强阳性,而外层栅栏状排列的细胞则基本为阴性。这与组织病理学上的“拼图样”排列相对应,提示TRPS1在该肿瘤中具有细胞类型特异性的表达 (如图7)。

图7. (a) 具有岛状基底细胞的圆柱瘤,呈拼图状排列;(b,c) 在管腔细胞中TRPS1染色最强,在周围肿瘤细胞中染色较弱,并且偏向于栅栏细胞的阴性染色灶。
对正常皮肤结构的观察发现,小汗腺分泌盘的内层细胞和汗管的两层细胞均呈TRPS1阳性,管状细胞染色较深,顶端汗管和顶泌汗腺则为阴性。毛囊,特别是球部和真皮乳头显示强阳性染色,如图8所示。

图8. 正常皮肤结构的TRPS1表达。(a) 小汗腺汗管两层细胞的TRPS1表达强度高于分泌盘内层细胞;(b) 顶端汗管TRPS1染色呈阴性;(c) 良性顶泌汗腺和小汗腺;(d) 顶泌汗腺TRPS1表达阴性,小汗腺表达阳性;(e) 毛球部及皮脂腺TRPS1表达阳性。
讨论与结论
汗腺瘤和汗孔瘤中的染色差异可能反映了肿瘤细胞具有分泌细胞 (较弱) 和管状细胞 (较强) 双重分化。圆柱瘤和螺旋腺瘤中管腔内膜细胞的强阳性支持其向汗管分化,外周阴性细胞可能是肌上皮或非小汗腺系分化。汗管瘤和微囊肿性附属器癌的阴性表达可能源于顶端汗管起源或表达丢失。顶泌汗腺中TRPS1的阴性表达与乳腺中的阳性表达形成对比,这可能为区分乳腺癌皮肤转移和顶泌汗腺肿瘤提供线索。
TRPS1表达并非乳腺癌特有,高达86%的汗腺肿瘤 (其中75%为中高表达) 也显示阳性,因此不能用于区分良恶性汗腺肿瘤。然而,基于正常汗腺中TRPS1的表达模式,不同汗腺肿瘤的特异性染色特征为探讨其细胞起源和分化方向提供了有价值的信息。TRPS1有望成为某些汗腺肿瘤敏感的免疫组化标志物,并作为未来的诊断工具。本研究样本量有限,需要更大规模的研究进一步验证这些发现。
原文Dermatopathology 期刊:https://www.mdpi.com/2340914
Dermatopathology 期刊介绍
主编:Gürkan Kaya, University Hospital of Geneva, Switzerland
Dermatopathology (ISSN 2296-3529) 创刊于2014年,是由欧洲皮肤病理协会 (ESDP) 主办,MDPI合作出版的国际同行评议开放获取期刊。本刊专注于皮肤病理学领域的诊断实践、人类及实验动物研究。
2024 Impact Factor:1.7
Time to First Decision:32.6 Days
Acceptance to Publication:6.8 Days


Archiver|手机版|科学网 ( 京ICP备07017567号-12 )
GMT+8, 2026-4-22 16:17
Powered by ScienceNet.cn
Copyright © 2007- 中国科学报社