精选
|
中美科学家或已找到帕金森病的真正根源

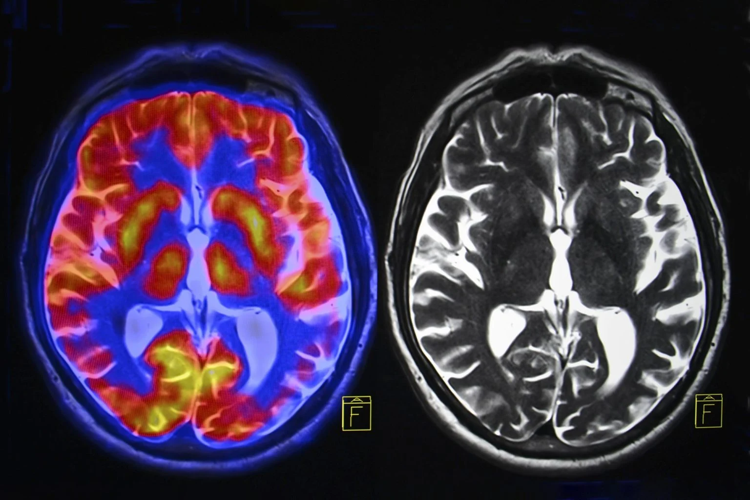
配图:黑白脑扫描图
科学家已精准定位帕金森病核心的关键脑网络——初步结果显示,这一发现可能改变该病的治疗方式。图片来源:Shutterstock
一个新发现的脑网络可能是帕金森病的真正驱动因素,而精准靶向该网络的治疗,已使症状缓解效果大幅提升。
帕金森病是一种进行性神经系统疾病,仅美国就有超100万患者,全球患者超1000万。它会引发一系列致残症状,包括震颤、运动困难、睡眠问题以及思维和记忆力衰退。现有治疗手段(如长期药物治疗、侵入性脑深部电刺激DBS)可缓解症状,但无法阻止病情进展或实现治愈。
与帕金森病相关的新脑网络
由中国昌平实验室牵头,联合圣路易斯华盛顿大学医学院等机构的国际研究团队,已确定一个与帕金森病核心问题相关的特定脑区。科学家聚焦于一个名为“躯体认知行动网络(SCAN)”的脑网络。当采用经颅磁刺激(TMS)这一无创实验方法靶向该网络时,患者的症状改善效果,是刺激邻近脑区时的两倍多。
该研究成果于今日(2月4日)发表在《自然》杂志,重塑了科学家对帕金森病神经学基础的认知,并指向更精准、更有效的治疗策略。
“这项研究证明,帕金森病是一种SCAN相关疾病,数据强烈表明,若以个性化、精准的方式靶向SCAN,治疗帕金森病的效果将优于以往,”该研究合著者、华盛顿大学医学院神经病学教授尼科·U·多森巴赫医学博士表示,“改变SCAN内的活动,或可延缓甚至逆转疾病进展,而非仅缓解症状。”
SCAN:帕金森病与健康大脑的差异

这个连接思维与运动的脑网络(SCAN),由华盛顿大学医学院研究人员于2023年首次描述,新研究证实其为帕金森病的神经学基础。一项靶向该网络的实验疗法,使一小部分帕金森病患者的症状改善效果提升超两倍;帕金森病的特征是SCAN与大脑皮层下区域之间的过度连接(图示左侧)。
理解SCAN的作用
多森巴赫于2023年在《自然》首次描述了SCAN。该网络位于大脑控制自主运动的运动皮层内,负责将行动计划转化为躯体运动,并监测行动执行过程。由于帕金森病影响的远不止运动,还涉及消化、睡眠、动机和认知,该研究资深作者刘河生博士与多森巴赫合作,探究SCAN的功能异常是否能解释该病的广泛症状,并提供新的治疗靶点。
为验证这一设想,刘河生团队分析了来自美国和中国800余名受试者的多类脑成像数据。研究对象包括接受DBS或经颅磁刺激、聚焦超声刺激、药物等无创治疗的帕金森病患者,同时纳入健康志愿者及其他运动障碍患者作为对照。
发现异常脑连接
研究人员发现,帕金森病的特征是SCAN与皮层下区域(参与情绪、记忆和运动控制的脑区)之间存在异常强的连接。在研究涉及的四种治疗方式中,降低这种过度连接时,治疗效果最佳,这有助于恢复负责计划和协调行动的脑回路的正常活动。
“数十年来,帕金森病主要与运动缺陷及基底节(控制肌肉运动的脑区)相关,”刘河生表示,“我们的研究表明,该病的根源是更广泛的网络功能障碍。SCAN与帕金森病相关的关键区域过度连接,这种异常连接不仅破坏运动,还影响相关的认知和躯体功能。”
精准治疗展现潜力
基于这些发现,研究人员开发了一套精准治疗系统,可无创、毫米级精准靶向SCAN。他们采用经颅磁刺激技术,通过置于头皮的设备向大脑传递磁脉冲。临床试验中,18名接受SCAN靶向刺激的患者,两周后症状改善率达56%;相比之下,18名接受邻近脑区刺激的患者,改善率仅22%,有效性提升2.5倍。
“无创神经调控治疗,可比当前的DBS更早介入治疗,”多森巴赫说,“因为这类治疗无需脑部手术。”
他指出,仍需更多基础研究,明确SCAN的不同部分如何对应帕金森病的特定症状。
展望未来,多森巴赫计划与他联合创立的华盛顿大学医学院初创公司Turing Medical合作开展临床试验,测试一种无创疗法——通过在SCAN区域放置表面电极条,改善帕金森病患者的行走困难。他还计划探索低强度聚焦超声,作为另一种利用声能调节SCAN活动的无创方法。
Archiver|手机版|科学网 ( 京ICP备07017567号-12 )
GMT+8, 2026-4-30 17:55
Powered by ScienceNet.cn
Copyright © 2007- 中国科学报社