国际科学编辑isechina的官方博客分享 http://blog.sciencenet.cn/u/isechina

博文

【CVIA视频报告】经皮二尖瓣修复新技术PASCAL Ace系统在成形环脱位患者中的应用:意大利首例报道

已有 2278 次阅读 2025-2-26 15:39 |个人分类:CVIA|系统分类:科普集锦

二尖瓣反流(Mitral Regurgitation, MR)是一种常见的心脏瓣膜疾病,其病因复杂,包括退行性变、功能性异常或手术相关并发症等。传统治疗手段以开胸二尖瓣修复或置换术为主,但对于高龄、合并症多或手术风险高的患者,传统手术的死亡率和并发症风险显著升高。近年来,经导管二尖瓣介入治疗(Transcatheter Mitral Valve Repair, TMVR)因其微创性和安全性逐渐成为高风险患者的重要选择。

Edwards Lifesciences公司研发的PASCAL系统是TMVR领域的代表性器械,其通过夹合二尖瓣前后叶(类似MitraClip技术)减少反流,但设计上更灵活,适用于复杂解剖结构。CLASP系列临床试验(I和IID)已证实其安全性和有效性,尤其在退行性或功能性MR患者中表现出色。然而,对于既往接受过二尖瓣成形环植入且出现成形环脱位的病例,经皮修复的报道极为罕见。

近日,意大利圣卡洛医院心血管科的Marco Fabio Costantino教授团队在CVIA上发表了题目为“经皮二尖瓣修复新技术PASCAL Ace系统在成形环脱位患者中的应用:意大利首例报道”《Percutaneous Mitral Valve Repair with the PASCAL Ace System in an Older Patient with a Dislocated Annuloplasty Ring: The First Case Report in Italy》的病例报道,该例为意大利首次使用PASCAL Ace系统成功治疗成形环脱位相关严重MR的高龄患者,为临床提供了宝贵经验。

病例概述患者为84岁男性,无吸烟史,2012年诊断为轻中度二尖瓣反流和轻度三尖瓣反流。2014年因永久性心动过缓性房颤植入单腔起搏器(VVI模式)。2015年病情进展为重度混合性MR(退行性+功能性),超声心动图显示中心性反流束(面积>10 cm²,缩流径8 mm),左室射血分数(LVEF)降至0.39,遂行外科二尖瓣修复术,植入28 mm Sorin Memo 3D成形环。

2023年6月,患者因右腿血肿暂停抗凝治疗,CT发现髂总动脉穿透性溃疡及右髂内动脉瘤(直径4.5 cm),接受主动脉-双髂动脉覆膜支架治疗。同年7月随访超声提示左室收缩功能进一步下降,二尖瓣出现偏心性反流束,成形环部分脱位导致瓣膜功能障碍。至2024年5月,MR进展为重度(双偏心反流束),左室舒张末容积指数(76 mL/m²)、左房容积指数(76 mL/m²)增加,LVEF为43%。患者心功能恶化至NYHA III级,但因高龄、严重左室功能障碍、糖尿病、房颤等高危因素,传统外科手术风险极高(STS评分提示禁忌),最终决定采用PASCAL Ace系统行经皮修复。

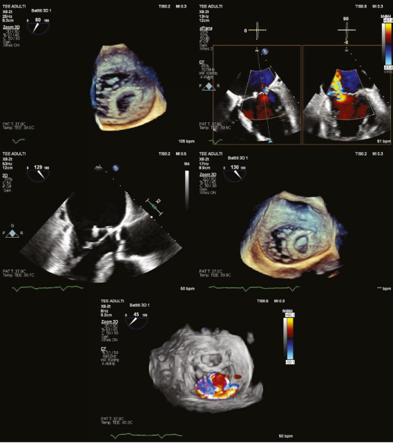
图片

手术过程

心脏团队综合评估认为,成形环脱位通常需外科二次手术(如瓣膜置换),但该患者解剖复杂(脱位环阻碍器械操作)、合并血管病变,且存在左室功能不全,手术风险不可接受。PASCAL系统虽无成形环脱位修复的长期数据,但其设计灵活性(如独立抓取瓣叶、可调节夹合宽度)为挑战性病例提供了可能。

图片

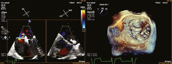
手术历时90分钟,经右股静脉入路,在经食道超声(TEE)和透视引导下完成房间隔穿刺。PASCAL Ace装置成功锚定于二尖瓣A2-P2段,避开脱位成形环,未发生器械卡压或并发症。术后超声证实残余反流为轻度(1+/4),平均跨瓣压差3.6 mmHg,二尖瓣有效面积3.5 cm²。患者术后6天出院,仅1天ICU监护。

图片

术后随访

1个月随访显示心功能稳定,6个月时LVEF恢复至>60%,左室缩短分数>0.35,肺动脉收缩压35 mmHg。患者恢复日常活动(如长距离骑行),无疲劳或呼吸困难,药物方案调整为利尿剂、ARNI(沙库巴曲/缬沙坦)、SGLT2抑制剂(恩格列净)等。

图片

病例讨论与启示成形环脱位是二尖瓣修复术后罕见但严重的并发症,常因缝线断裂、感染或长期血流冲击导致。传统处理需开胸手术(更换成形环或行瓣膜置换),但二次手术死亡率高达10%-15%。本病例通过经皮介入成功规避了开胸风险,凸显TMVR在高危人群中的替代价值。与MitraClip相比,PASCAL系统的“Spacer”设计可填充瓣叶间隙,独立抓取臂(“Clasp”)允许分步夹合,更适合解剖复杂的病例(如脱位环遮挡或钙化瓣叶)。本病例中,术者利用TEE实时三维成像精准导航,将装置置于脱位环下方,避免了器械干扰,体现了影像引导的关键作用。

尽管PASCAL系统尚未获批用于成形环脱位,但本例“超适应症使用”基于以下考量:

 患者利益最大化若不干预,预期生存期显著缩短;

多学科决策心脏团队、影像科、麻醉科协作评估;

知情同意充分沟通手术风险与获益,尊重患者意愿。

本例为欧洲第二例(意大利首例)PASCAL修复成形环脱位病例,证实该技术在极端解剖条件下的可行性。然而,长期耐久性(如夹合器是否受脱位环机械应力影响)仍需随访。此外,病例选择需严格遵循“个体化”原则,避免盲目推广。

结论该病例展示了PASCAL Ace系统在复杂二尖瓣病变中的创新应用,为高危患者提供了微创治疗新选择。未来需积累更多病例并延长随访时间,以验证其长期效果。同时,这一成功经验提示,经导管技术的进步正逐步打破传统手术的禁忌边界,推动心脏瓣膜病治疗向更精准、更安全的方向发展。

作者团队简介:

刘硕霖 上海交通大学

图片

刘硕霖,上海交通大学医学院附属瑞金医院心内科 主治医师; 硕士毕业于北京协和医学院阜外医院,博士毕业于复旦大学附属中山医院心内科。擅长结构性心脏病,主动脉狭窄及反流,二尖瓣关闭不全,左心耳封堵,卵圆孔未闭等疾病的诊断与治疗。上海医师协会心血管分会会员,CIVA杂志青年编委。主持国家自然基金青年基金及瑞金医院院内课题各1项,参与国自然重点项目及面上项目2项,以第一作者或共同第一作者发表论文10篇,SCI论著9篇,最高IF 33分,累计影响因子 77分。具有国家发明专利2项。

引用本文:Costantino MF, Stolfi L, D’Addeo G et al. Percutaneous Mitral Valve Repair with the PASCAL Ace System in an Older Patient with a Dislocated Annuloplasty Ring: The First Case Report in Italy. Cardiovasc Innov Appl 2025. Vol. 10(1). DOI: 10.15212/CVIA.2024.0064

原文链接:(点击下方阅读原文链接可直达)

https://www.scienceopen.com/hosted-document?doi=10.15212/CVIA.2024.0064



https://blog.sciencenet.cn/blog-3387871-1474923.html

上一篇:【AMM综述】淫羊藿素抗肿瘤的分子机制及应用的综述
下一篇:Sage再撤稿400篇!学术诚信危机持续,中印学者成重灾区
收藏 IP: 117.82.91.*| 热度|

0

该博文允许注册用户评论 请点击登录 评论 (0 个评论)

数据加载中...

Archiver|手机版|科学网 ( 京ICP备07017567号-12 )

GMT+8, 2025-12-27 16:45

Powered by ScienceNet.cn

Copyright © 2007- 中国科学报社

返回顶部