国际科学编辑isechina的官方博客分享 http://blog.sciencenet.cn/u/isechina

博文

【CVIA视频报告】四叶式主动脉瓣畸形:一种罕见的伴有重度主动脉瓣关闭不全的成人先天性畸形

已有 2344 次阅读 2025-1-10 15:32 |个人分类:CVIA|系统分类:科普集锦

四叶式主动脉瓣是一种罕见的先天畸形,约占所有先天性心脏缺陷的 0.003% 至 0.043%。其胚胎起源目前尚不清楚,可表现为孤立的先天畸形,也可能与其他畸形同时存在,例如Ehlers-Danlos综合征、Williams 综合征等。虽然四叶式主动脉瓣畸形是一种先天畸形,但由于其症状主要表现为瓣膜功能异常,它经常仅在成年后才被发现。对于无症状的四叶式主动脉瓣畸形,需定期进行超声心动图评估,以监测瓣膜功能。其干预措施的决策遵循既定的主动脉瓣疾病指南,综合考虑症状发展、瓣膜功能和血流动力学变化等因素。四叶式主动脉瓣患者瓣膜功能恶化的确切机制目前尚不完全清楚,血流紊乱和瓣膜运动异常是导致早期瓣膜功能障碍的原因。其独特的解剖结构可能会导致应力分布不规则和湍流,这反过来可能会加速瓣膜的退行性变化。

近日,意大利波坦察San Carlo医院心血管科Marco Fabio Costantino团队在CVIA上发表了题目为“四叶式主动脉瓣畸形:一种罕见的伴有重度主动脉瓣关闭不全的成人先天性畸形”《Quadricuspid Aortic Valve: A Rare Congenital Anomaly Presenting in Adulthood with Severe Aortic Regurgitation》的个案报道,回顾了该团队诊治一名 54 岁四叶式主动脉瓣畸形女性患者的过程。

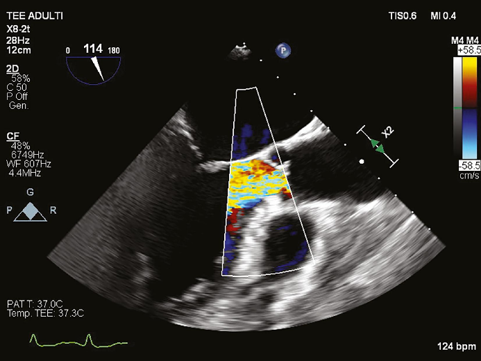
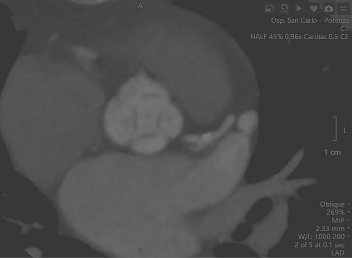
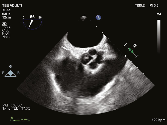
一名 54 岁的女性患者于 2024 年 2 月首次到他们诊所就诊,主诉为劳力性呼吸困难。患者无合并症,否认药物使用和吸烟史。心电图显示患者左心室肥厚。经胸超声心动图示:1)左心室增大,心室壁厚度正常(舒张末期直径 54 mm,室间隔 10 mm,后壁 10 mm,舒张末期容积指数 66 mL/m2); 2)收缩功能保留,舒张功能受损,射血分数 65%,主动脉瓣中心性反流导致重度主动脉关闭不全,主动脉根部和升主动脉尺寸正常,没有其他瓣膜异常。术前经食管超声心动图 (TEE)显示主动脉瓣四叶式畸形,根据 Hurwitz 和 Roberts分型被归类为 A 型,其特征是四个完全相等的瓣叶。计算机断层扫描 (CT) 证实了四叶式主动脉瓣并排除了冠状动脉疾病。

图片图片图片

心脏团队根据指南以及其他考虑因素,包括瓣膜相对复杂的形态、患者相对年轻和预期寿命长、人工瓣膜的耐用性、无合并症、手术风险低以及患者的偏好,决定进行外科瓣膜置换术,而不是经导管主动脉瓣植入术,主要是为了确保患者的最佳长期结局,该手术通过胸骨上段小切口植入21mm Inspiris Resilia生物瓣膜。术中所见证实了瓣膜的病变,其特征是四个大小相等的瓣叶(两个右冠瓣、一个左冠瓣和一个无冠瓣)。手术期间无并发症或特殊情况,手术持续 3 小时 40 分钟,患者住院 14 天,其中 2 天在心脏病重症监护室。

图片

术后患者出院情况稳定,平均跨瓣压差 13 mmHg,无瓣周漏。心房和右心室大小正常,左心室仍然扩大。患者在 3 个月时接受随访,此时瓣膜功能良好,平均跨瓣压差保持不变。

该患者的四叶式主动脉瓣畸形诊断是在五十多岁时,是在已出现症状并通过超声心动图确认重度反流后才做出,体现了四叶式主动脉瓣畸形经常被延迟诊断。对于有先天性心脏缺陷家族史的患者,靶向筛查可能有助于早期识别四叶式主动脉瓣畸形。未来建立一个全球数据库来收集患者的人口统计学、临床表现、影像学结果、治疗方法和长期结果等数据,可以通过促进制定更合适的指南和探索遗传机制来帮助患者和临床医生。

述评者介绍:

贾崧淏

图片

贾崧淏,首都医科大学附属北京安贞医院心力衰竭与瓣膜外科中心住院医师。参与十三五、十四五国家重点研发计划、国家自然科学基金重点项目等多项课题研究,以第一作者身份在美国心脏协会官方杂志JAHA等心血管权威期刊发表SCI论文6篇,中文核心期刊论文6篇,获授权专利9项,参与执笔中国专家共识2项。相关研究成果受邀在欧洲心脏病学会(ESC)年会、美国胸外科协会(AATS)年会、欧洲心胸外科协会(EACTS)年会、亚洲胸心血管外科学会(ASCVTS)年会、中华医学会全国心血管年会等学术会议交流十余次,担任美国胸外科医师学会(STS)成员,欧洲心脏病学会(ESC)成员,《Cardiovascular Innovations and Applications》青年编委,《International Journal of Surgery》和《BMC Cardiovascular disorders》审稿人,荣获华夏医学科学技术奖一等奖、亚洲瓣膜会论文大赛一等奖、海河之滨心脏病学会议优秀论文一等奖等。引用本文:D’Addeo G, Costantino MF, Stolfi L et al. Quadricuspid Aortic Valve: A Rare Congenital Anomaly Presenting in Adulthood with Severe Aortic Regurgitation. Cardiovasc Innov Appl 2024;9 (1). DOI: 10.15212/CVIA.2024.0054原文链接:(点击下方阅读原文链接可直达)

https://www.scienceopen.com/hosted-document?doi=10.15212/CVIA.2024.0054



https://blog.sciencenet.cn/blog-3387871-1468235.html

上一篇:Zoonoses原创研究 | 微生物组研究揭示陕西省长角血蜱病原体多样性及其潜在传播风险
下一篇:【CVIA研究论文】炎症在心力衰竭中的作用及临床干预策略
收藏 IP: 117.82.91.*| 热度|

0

该博文允许注册用户评论 请点击登录 评论 (0 个评论)

数据加载中...

Archiver|手机版|科学网 ( 京ICP备07017567号-12 )

GMT+8, 2025-12-24 12:23

Powered by ScienceNet.cn

Copyright © 2007- 中国科学报社

返回顶部